La sonrisa es lo primero en lo que se fija el 50,4% de los españoles al conocer a alguien
La sonrisa tiene un gran impacto en la forma en la que nos perciben los demás. Mientras que otros tratamientos requieren de meses o años, las carillas son una solución estética que permite tener la sonrisa que deseas solo en 2 sesiones (y así ahorrarte visitas al dentista).
Una sonrisa bonita mejora la percepción que tienes de ti. De hecho, el motivo por el que muchos deciden no sonreír en fotos es su complejo por el color, la forma o la alineación de sus dientes.
La doctora Luz Morote está acreditada para la colocación de carillas peliculares biomiméticas, que destacan por varias de sus ventajas: se adaptan fácilmente a la morfología de las personas, son resistentes (pueden durar hasta 20 años) y otorgan un color blanco, pero completamente natural (nadie notará que las llevas).
Lo que más repiten los pacientes es que les ha dado confianza para mostrar sus dientes en fotos y sentirse más seguros.


Qué puede conseguir con las carillas peliculares biomiméticas
- Blanquear dientes manchados
- Dar forma a dientes mal alineados y apiñados
- Corregir dientes desiguales
- Alargar dientes pequeños
- Cerrar espacios interdentales
- Revitalizar coronas y puentes antiguos
- Corregir dientes astillados
Las carillas peliculares biomiméticas son resistentes, naturales y se colocan en solo 2 sesiones
Las carillas peliculares biomiméticas están fabricadas con un material de
porcelana extrafuerte llamado cerinate y fabricado en Liechtenstein.
Se colocan de forma indolora en solo 2 sesiones, sin pinchazos ni
necesidad de tallar la estructura sensible del diente.
- La primera sesión sirve para tomar un molde de tu boca y buscar el color que mejor te queda.
- La segunda sesión es para colocarlas de forma definitiva (pueden durar 20 años si las cuidas bien.

La colocación de carillas peliculares biomiméticas es indolora y respeta la estructura natural del diente

Para colocar la mayoría de carillas hace falta tallar los dientes, por lo que su tamaño se hace más pequeño. Sin embargo, con las carillas peliculares biomiméticas normalmente no hace falta tallar los dientes. Es decir, su estructura y tamaño se mantienen intactos (se respetan los
dientes, el resultado es más natural y reversible).
Estos son otros de los beneficios de las carillas peliculares biomiméticas:
- Es un sistema indoloro y sin pinchazos.*
- No hace falta tallar el diente y se respeta su estructura.*
- Se colocan en solo 2 sesiones.
- Están respaldadas por estudios clínicos. **
- Ofrecen un blanqueamiento instantáneo y duradero.
- Son muy resistentes y pueden aguantar hasta 20 años.**
- No provocan sensibilidad tras colocarlas. **
- No hace falta colocar carillas provisionales.
- El contoneado de los dientes puede ser necesario en algunos casos
(hay que estudiar la situación del paciente de forma individual).
** - Tenemos estudios que podemos enviarte para que lo compruebes.
* El contoneado de los dientes puede ser necesario en algunos casos (hay que estudiar la situación del paciente de forma individual).
** Tenemos estudios que podemos enviarte para que lo compruebes.
Dudas y respuestas de las carillas peliculares biomiméticas
¿Qué son las carillas peliculares biomiméticas? A continuación respondemos a algunas respuestas a dudas que puedes tener...
* El contoneado de los dientes puede ser necesario en algunos casos (hay que estudiar la situación del paciente de forma individual).
** Tenemos estudios que podemos enviarte para que lo compruebes.
CARILLAS PELICULARES BIOMIMÉTICAS
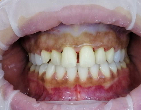
Galería de casos de éxito de la Dra. Luz Morote en estética dental
La dedicación y la excelencia en odontología estética se refleja en cada caso presentado aquí.
ANTES

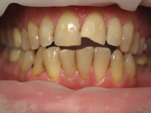
DESPUÉS

ANTES

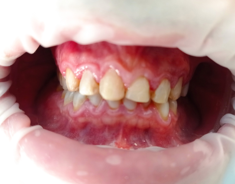
DESPUÉS

ANTES

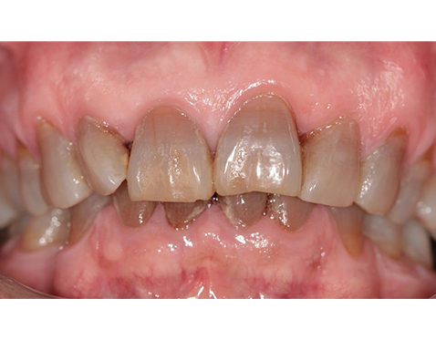
DESPUÉS

ANTES

DESPUÉS

ANTES

DESPUÉS

ANTES

DESPUÉS

ANTES

DESPUÉS

ANTES

DESPUÉS

ANTES

DESPUÉS

ANTES

DESPUÉS

ANTES

DESPUÉS

ANTES

DESPUÉS

ANTES

DESPUÉS

ANTES

DESPUÉS

ANTES

DESPUÉS

ANTES

DESPUÉS

ANTES

DESPUÉS

ANTES

DESPUÉS

ANTES

DESPUÉS

ANTES

DESPUÉS

